KADOKAWA Technology Review
×
新薬開発の最新トレンド、病気の発症を抑える遺伝子変異を探せ
Dr Graham Beards | Wikipedia
ニュース Insider Online限定
The secret to a new drug could be hiding in your genes

新薬開発の最新トレンド、病気の発症を抑える遺伝子変異を探せ

遺伝子的には重篤な病気が発症しているはずなのに、実際にはそうでない人たちがいる。そうした人たちは、疾患を引き起こすのとは別の遺伝子変異が、病気の発症を抑えていることが多い。遺伝子データベースからこうした人たちのDNAデータを掘り起こすことが、新薬開発の最新トレンドとなっている。 by Antonio Regalado2019.03.05

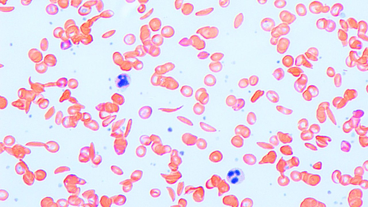
重篤な血液疾患の1つである鎌状赤血球症は、ヘモグロビン遺伝子内における一文字の綴りミスによって発症する。ただしそのエラーを受け継いだ人たちが全員、鎌状赤血球症を発症するわけではない。

2008年には科学者たちはその理由をすでに突き止めていた。鎌状赤血球症の遺伝子エラーを受け継いだ人たちの中には、2つ目の遺伝子異常を持つ人がいる。そうした人たちは体内で常に胎児ヘモグロビンを作り出し続けている。胎児ヘモグロビンは、酸素を運ぶ物質の一種で、通常は胎児が出生した時点で生成されなくなるものなのだ。

この2つ目の遺伝子変化が変更遺伝子として作用し、疾患に対する遺伝子的抑制剤として働く。

現在、メイズ・セラピューティクス(Maze Therapeutics)というスタートアップ企業が、サード・ロック・ベンチャーズ(Third Rock Ventures)やアーク・ベンチャー・パートナーズ(ARCH Venture Partners)などの投資家から1億9100万ドルもの巨額の出資を得て、変更遺伝子を研究して鎌状赤血球症患者の症状を最小限に抑える新薬を作り出そうとしている。

メイズ・セラピューティクスは、病気にかかる人がいる一方で、かからない …

こちらは有料会員限定の記事です。
有料会員になると制限なしにご利用いただけます。
有料会員にはメリットがいっぱい!
  1. 毎月120本以上更新されるオリジナル記事で、人工知能から遺伝子療法まで、先端テクノロジーの最新動向がわかる。
  2. オリジナル記事をテーマ別に再構成したPDFファイル「eムック」を毎月配信。
    重要テーマが押さえられる。
  3. 各分野のキーパーソンを招いたトークイベント、関連セミナーに優待価格でご招待。
人気の記事ランキング
  1. The balcony solar boom is coming to the US 安全性は大丈夫? 米国で「バルコニー発電」がブーム
  2. The era of AI malaise AI閉塞感の時代、私たちはまだ何も分かっていない
  3. Here’s what you need to know about the cruise ship hantavirus outbreak クルーズ船のハンタウイルス感染、パンデミックを心配すべきか?
  4. It’s time to make a plan for nuclear waste 先送りされてきた「核のゴミ」問題、ブームの今こそ向き合え
MITテクノロジーレビューが選んだ、AIの10大潮流 [2026年版]

AIをめぐる喧騒の中で、本当に目を向けるべきものは何か。この問いに対する答えとして、MITテクノロジーレビューはAIの重要なアイデア、潮流、新たな進展を整理したリストを発表する。

特集ページへ
MITテクノロジーレビューが選んだ、 世界を変える10大技術

MITテクノロジーレビューの記者と編集者は、未来を形作るエマージング・テクノロジーについて常に議論している。年に一度、私たちは現状を確認し、その見通しを読者に共有する。以下に挙げるのは、良くも悪くも今後数年間で進歩を促し、あるいは大きな変化を引き起こすと本誌が考えるテクノロジーである。

特集ページへ
フォローしてください重要なテクノロジーとイノベーションのニュースをSNSやメールで受け取る